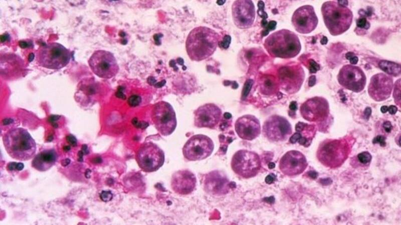
Así ataca al organismo la ameba “come cerebros” recientemente reportada en EE.UU.
El microorganismo, invade los nervios olfatorios y migra hacia el cerebro. Una vez ahí, se alimenta de las células nerviosas y provoca una rápida destrucción del tejido cerebral.

COMENTARIOS
Para comentar este artículo debes ser suscriptor.










