Por María José GómezHombre se perforó la garganta por reprimir un estornudo
Un paciente de 30 años iba conduciendo su vehículo, cuando comenzó a experimentar varios estornudos e intentó detenerlos. Sin embargo, pronto sintió un intenso dolor de cuello.

Un equipo médico del Reino Unido advirtió que las personas no deben aguantarse los estornudos pellizcándose la nariz, al mismo tiempo en que la boca está cerrada.
¿La razón? Un hombre se perforó la garganta después de haber realizado esa práctica y terminó hospitalizado. Los médicos que participaron en el caso, junto a investigadores de la Universidad de Dundee, documentaron el hecho en el último número de la revista médica BMJ Case Reports.
Evitó estornudo y se perforó la garganta
Según indica la revista médica, el paciente de 30 años y con antecedentes de rinitis alérgica iba conduciendo su vehículo cuando comenzó a experimentar varios estornudos seguidamente.
Intentó detenerlos pellizcándose la nariz, al mismo tiempo en que su boca estaba cerrada. Sin embargo, pronto empezó a sentir fuertes dolores en su cuello.

Así, decidió trasladarse hasta el Hospital Ninewells de la ciudad de Dundee, en Escocia. Una vez que el hombre llegó a urgencias, el equipo médico identificó que su cuello estaba hinchado y no tenía control de movimiento en esa área.
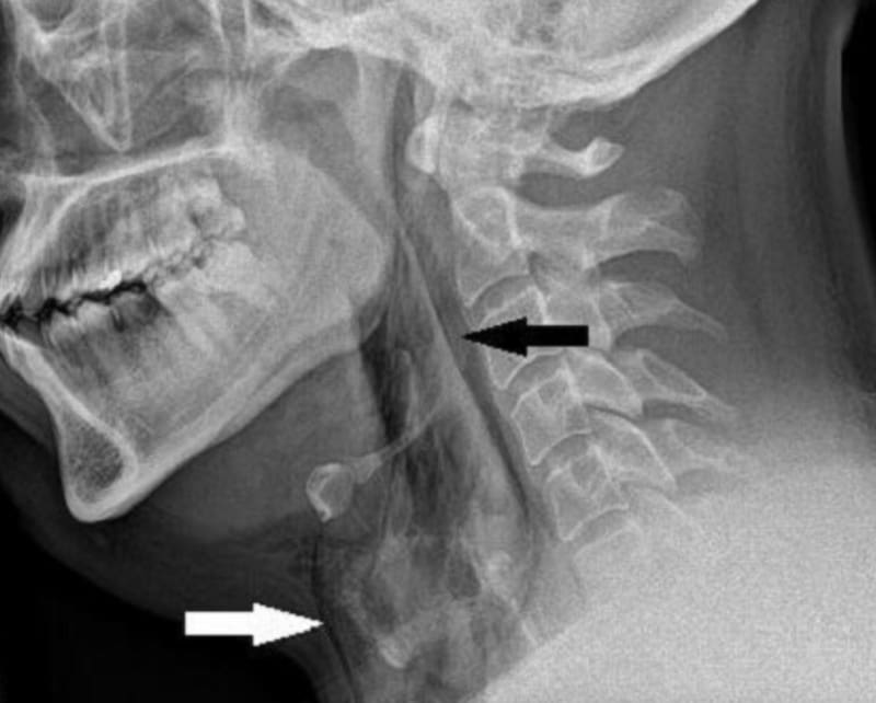
Tras hacerle una radiografía, los doctores descubrieron que el paciente había sufrido un desgarro de 2 mm en su tráquea. Los cirujanos cardiotorácicos del Hospital Ninewells consideraron que no era necesario realizar una operación, puesto que el hombre “se encontraba sistémicamente bien con frecuencia cardíaca y respiratoria normal”, detalla la revista.
Para prevenir mayores dificultades, lo dejaron sin que consumiera nada por vía oral en la primera noche y quedó hospitalizado durante dos días. Una vez que se le dio de alta se le recomendó que no hiciera actividad física por dos semanas y que continuara con tratamiento para la rinitis alérgica.
Después de cinco semanas el desgarro del paciente logró sanar, según mostraron las radiografías.
De acuerdo a los médicos que participaron en el caso, cuando se ha cerrado la nariz y la boca en medio de un estornudo, la presión en las vías respiratorias superiores podría incrementarse unas 20 veces.

La perforación traqueal espontánea es poco frecuente, y en algunas ocasiones, podría ser letal. Rasads Misirov, doctor y autor principal del artículo, expresó a la BBC que es necesario que las personas lleven a cabo los estornudos y no los eviten.
“Debemos cubrir suavemente la cara con la mano o con la parte interna del codo para evitar que irritantes como virus, junto con la saliva y la mucosidad, lleguen a quienes nos rodean”, recalcó el doctor.
De acuerdo a Misirov, hay algunas técnicas que se pueden usar en los estornudos sin que sea necesario pellizcarse la nariz y la boca simultáneamente. Una de ellas es presionarse el labio superior con uno de los pulgares, abajo de la nariz, y mantenerse así por un par de segundos.
COMENTARIOS
Para comentar este artículo debes ser suscriptor.
Lo Último
Lo más leído
1.
2.
3.
4.
¡Aprovecha el Cyber! Nuestros planes a un precio imbatible por más tiempo 📰
Plan Digital$990/mes SUSCRÍBETE


















