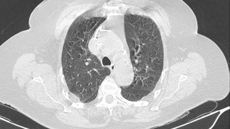
Por Carlos MontesEn el interior de un pulmón de un paciente: así queda este órgano después de sufrir coronavirus
En los casos que evolucionan mal y llegan a hospitalización, la tos se hace persistente y aparecen signos de alarma que generalmente se asocian a un compromiso pulmonar más extenso.

Si bien el coronavirus ha sido catalogado como un virus multisistémico, en la mayoría de los casos, los pulmones son los órganos más afectados. ¿Qué le pasa a los pulmones con el virus?, ¿con qué daño o secuelas quedan tras superar la enfermedad?
Carlos Beltrán, jefe del Departamento de Infectología del Hospital Barros Luco, explica que inicialmente el cuadro se presenta (dejando fuera los casos asintomáticos) con síntomas respiratorios altos. “El paciente comienza con tos, algo de fiebre y algún otro síntoma, como cambios en el gusto o en el olfato".
“En los casos que evolucionan mal y llegan a hospitalización, la tos se hace persistente y aparecen signos de alarma que generalmente se asocian a un compromiso pulmonar más extenso e incluso alguna complicación adicional como trombos o coágulos, con cuadros de agravamientos más bruscos de los síntomas”, añade Beltrán.
Vea en el siguiente video la explicación del doctor Carlos Beltrán.
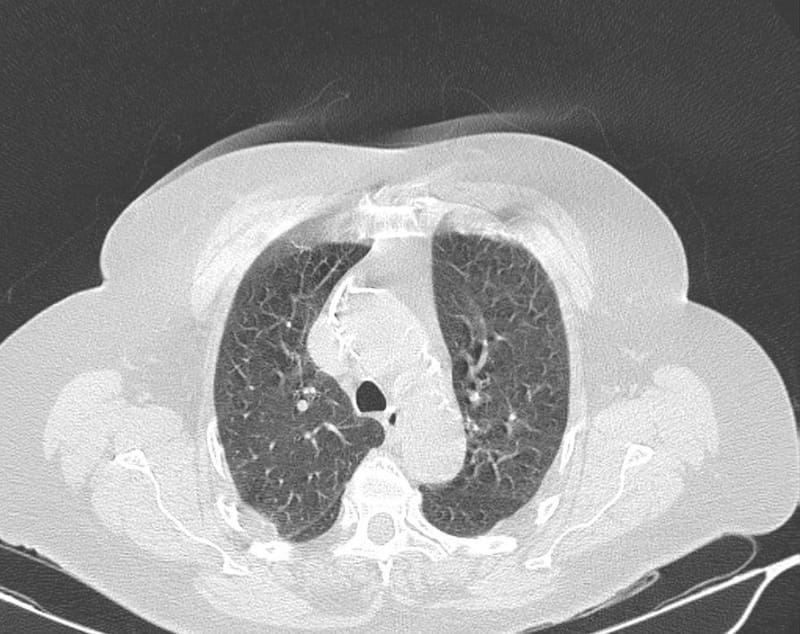
Ronald Reid, broncopulmonar y médico jefe del Servicio de Medicina de Clínica Universidad de los Andes, señala que el daño a los pulmones por el coronavirus tiene dos fases. “Primero, una fase inflamatoria muy importante, en la cual el virus produce un daño directo a nivel de las células del epitelio, que es el tejido que cubre los alvéolos o los bronquios. Eso finalmente produce una cascada inflamatoria, que hace que los alvéolos se llenen de líquidos con células inflamatorias, se ocupe el espacio e impide que puedan funcionar".
Beltrán explica en el siguiente video las deficiencias que genera el virus en los pulmones.
“Es decir, lo primero que se ve es una neumonía, que es con características de tipo inflamatoria, y eso produce una falla respiratoria severa y los pacientes pueden caer en ventilación mecánica o cosas así”, explica Reid.
“Todo el material inflamatorio que produce el coronavirus, va generando áreas de infiltración e inflamación en el pulmón, y finalmente toda la unidad se va rellenando de un material inflamatorio dado por elementos solubles y también por células que van obstruyendo el flujo y van generando los síntomas”, explica Beltrán.

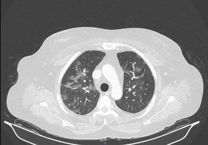
Reid señala que luego viene una segunda fase, que se establece en período inflamatorio. “En la gran mayoría de los pacientes se empieza a reabsorber, se va limpiando el pulmón, al igual que como cuando una persona tiene una infección en un dedo. En principio el dedo se hincha y después se deshincha, pasa lo mismo en este caso”.

"Sin embargo, hay algunos pacientes en que esta inflamación puede evolucionar hacia fibrosis, donde se produce una cicatriz, y esa zona del pulmón se empieza a retraer, el tejido normal del pulmón se reemplaza por tejido fibroso cicatrizado. Eso puedo dejar un daño secuelar respiratorio”, explica Reid.
Revisa en este video 3D, los estragos que genera el coronavirus en los pulmones.
“Ese daño si es fibrótico, puede dejar una secuela para siempre. Disminuye la capacidad respiratoria de la persona. No ocurre en todos los pacientes, solo en un cierto porcentaje que desarrollan esta fibrosis. Son pocos casos, generalmente los más graves. Pacientes que caen en ventilación mecánica por períodos largos, con cuadros más severos. Aunque es súper variable el daño en cada persona", señala Reid.
Sin embargo, este daño no implica que esta persona sea más vulnerable a futuras enfermedades. “Más bien hay que mirarlo como una secuela. Queda con una disminución de su reserva pulmonar. No se va a enfermar más fácil, pero si lo hace y agarra otra neumonía, evidentemente partirá de una basal más baja”, explica el broncopulmonar de Clínica Universidad de los Andes.
COMENTARIOS
Para comentar este artículo debes ser suscriptor.
Lo Último
Lo más leído
3.
4.
¡Aprovecha el Cyber! Nuestros planes a un precio imbatible por más tiempo 📰
Plan Digital$990/mes SUSCRÍBETE

















